糖尿病黄斑水肿(Diabetic Macular Edema,DME)是糖尿病患者常见的眼底并发症之一,也是导致糖尿病患者视力下降甚至失明的主要原因。黄斑是视网膜中央区域,负责我们的中心视力和精细视觉,当这个区域因糖尿病引起的血管异常而出现液体积聚时,就会发生黄斑水肿。
一、无声的威胁:为什么糖尿病患者需要警惕
糖尿病视网膜病变早期对视力没有明显影响。很多患者是等到视力急剧下降,出现有黑影的飘动、视物变形等症状时才匆匆寻求治疗。如果对此不重视,错过早期诊治,一旦发展到晚期,视力会严重受损。
二、症状警示:糖尿病黄斑水肿的信号
视力模糊 :患者常感到看东西模糊不清
视物变形 :直线看起来弯曲或变形
中心视野出现黑影 :看东西时中心区域有阴影或暗区
阅读困难 :阅读小字体时感到困难
色觉异常 :颜色感知可能发生改变
需要注意的是,早期糖尿病黄斑水肿可能没有明显症状,很多患者是在眼科检查时才被发现。
眼底检查 :医生通过检眼镜观察眼底,可发现黄斑区水肿
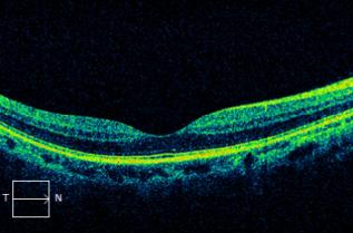
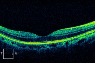
光学相干断层扫描(OCT) :可精确测量黄斑区的厚度和水肿程度
眼底荧光血管造影(FFA) :评估视网膜血管的异常情况,可发现微血管瘤和血管渗漏
视野检查 :评估视力受损的范围和程度

正常黄斑 OCT表现

黄斑水肿 OCT表现
三、治疗方案:守护您的光明
糖尿病黄斑水肿的治疗主要包括以下几种方法:
激光治疗 :用于治疗严重的糖尿病视网膜病变
抗VEGF药物治疗是目前专家指南推荐的一线用药 :通过玻璃体内注射抗血管内皮生长因子(VEGF)药物,这些药物可减少新生血管形成和血管渗漏,从而减轻黄斑水肿,通常需要多次注射,初始治疗期为每月一次,维持期可延长至每 3 个月一次。
糖皮质激素治疗 :通过玻璃体内注射或植入缓释制剂可减轻炎症和水肿,但长期使用可能导致眼压升高和白内障形成
手术治疗 :对于严重的糖尿病视网膜病变,可能需要进行玻璃体切割手术,手术可清除玻璃体内的积血和机化物,减轻对视网膜的牵拉。

糖尿病视网膜病变激光治疗以及抗VEGF治疗术后
四、预防糖尿病黄斑水肿的关键在于:
控制血糖 :良好的血糖控制是基础
定期眼科检查 :糖尿病患者应每年至少进行一次眼底检查,及时发现和治疗眼底病变
健康生活方式 :均衡饮食,多吃富含维生素和矿物质的食物,适量运动,控制体重,戒烟限酒,控制血压和血脂。
糖尿病黄斑水肿防治的重点可以概括为:控制血糖、早期筛查、科学治疗。
如果您是糖尿病患者,请定期到眼科医院进行眼底检查,专业的眼科检查和治疗建议,帮助您预防和治疗糖尿病相关的眼底疾病,守护您的光明视界。