普瑞专家说|从“蒙雾”到“高压”,白内障如何成为青光眼的“隐形推手”
我们常常听说白内障和青光眼,知道它们都是常见的致盲性眼病。但很多人不知道,进展到一定程度的白内障,本身就可能成为引发青光眼的“隐形推手”。
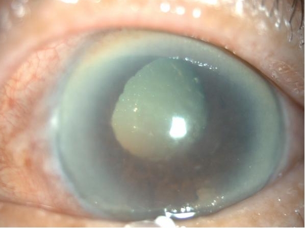
一:在老年性白内障膨胀期时,晶状体混浊加重,皮质吸水肿胀,晶状体体积增大,前房变浅,有闭角型青光眼体质的患者此时可诱发青光眼急性发作。危险信号(急性发作症状):眼睛剧烈胀痛、同侧头痛,恶心、呕吐(容易被误诊为肠胃病)
。必须立即就医,否则可能对视神经造成不可逆的损伤。
二:“成熟的白内障”堵死过滤网,这种情况多发生在过熟期或成熟期白内障,称为“晶状体溶解性青光眼”。为过熟或成熟的白内障中高分子量的可溶性晶状体蛋白大量逸出,阻塞了小梁网房水外流通道所致的继发性开角型青光眼。临床表现:急性眼压升高,类似急性闭角型青光眼发作,眼红、痛、角膜水肿等。


三:老年性白内障过熟期时,由于晶状体悬韧带变性,晶状体容易出现脱位或移位,囊膜破裂也可使核脱出,若脱位的晶状体或晶状体核堵塞瞳孔区,可引起继发性青光眼。
关键总结与行动指南
1. 风险人群:老年性白内障患者,特别是前房较浅、白内障发展较快的人,是发生这类青光眼的高危人群。
2.
不要等白内障“成熟”:过去常说的“等白内障熟了再做手术”的观念已经过时。现代白内障手术技术成熟,当白内障影响到生活质量时,就应考虑手术。对于有青光眼风险或前房较浅的患者,及时手术更是预防青光眼发作的重要策略。
3. 定期眼科检查是根本,医生通过裂隙灯和房角镜检查,可以清晰评估您的白内障程度、前房深度和房角状态,从而预测和防范风险。
4.
治疗原则:一旦因白内障导致青光眼发作,治疗的核心是 “降压”与“手术”并举。进行
“白内障手术”,移除膨胀的晶状体后,会加深前房,绝大多数情况下眼压能得到控制,有时会进行 “青光眼白内障联合手术”。
结语:白内障和青光眼的关系警示我们:眼病之间并非孤立。一个看似只是“视力模糊”的问题,背后可能潜藏着导致不可逆视力损害的“压力危机”。重视白内障的定期随访,了解其潜在风险,在医生指导下选择合适的手术时机,是防治白内障和青光眼、守护光明未来的关键。